Κωνσταντίνος

Ορθοπαιδικός

Bougoulias.com  |  © 2024  |  All rights reserved

Όροι χρήσης & Πολιτική απορρήτου

Μπουγουλιάς

Χειρουργός

Αρχική σελίδα

The latest HTML5, CSS3 and advanced JavaScript have

been used to ensure the highest compatibility.

Ορθοπαιδικές Παθήσεις

Διευθυντής Β’ Κλινικής Σπονδυλικής Στήλης,

Νοσοκομείο Metropolitan General

       Το ανωτέρω σύνδρομο αποτελεί το πιο συχνό σύνδρομο παγίδευσης νεύρου στα άνω άκρα. Στην ουσία οφείλεται σε παγίδευση - πίεση του μέσου νεύρου στον καρπιαίο σωλήνα. Ο υμένας στον καρπιαίο σωλήνα φλεγμαίνει και χαρακτηρίζεται από οίδημα, ίνωση, διάσπαρτα λεμφοκύτταρα. Κλινικώς χαρακτηρίζεται από πόνο, αίσθημα καύσου, αιμωδίες κατά την κατανομή του μέσου νεύρου στον καρπό και στα δάκτυλα (αντίχειρας, δείκτης, μέσος και κερκιδική μισή επιφάνει παράμεσου), επίταση πόνου το βράδυ, οι ασθενείς τείνουν να κρεμούν το χέρι προς τα κάτω τινάζοντάς το ρυθμικά. Θετικές είναι οι κλινικές δοκιμασίες Tinnel και Phalen που αναπαράγουν τα συμπτώματα. Εργαστηριακά η παθολογία επιβεβαιώνεται με ηλεκτρομυογράφημα και δοκιμασίες ταχύτητας αγωγής του μέσου νεύρου (καθυστέρηση αισθητικής αγωγής πάνω από 3.2ms και κινητικής πάνω από 4.2 ms είναι παθολογική).


Η συντηρητική αγωγή περιλαμβάνει ειδικούς νάρθηκες πηχεοκαρπικής, ξεκούραση, μη στεροειδή αντιφλεγμονώδη. Επόμενο στάδιο είναι οι εγχύσεις κορτιζόνης με ικανοποιητικά αλλά παροδικά συνήθως αποτελέσματα.


Η χειρουργική θεραπεία δρά αιτιολογικά, στην αιτία του προβλήματος, και συνίσταται στη διάνοιξη του καρπιαίου σωλήνα με διατομή του εγκαρσίου συνδέσμου του καρπού, που αποτελεί την οροφή του σωλήνα. Έτσι το νεύρο ελευθερώνεται.


Για την χειρουργική επέμβαση δεν χρειάζεται νοσηλεία (εξωτερικός ασθενής), γίνεται με τοπική αναισθησία και μέσω μιας μικρής τομής ~ 1.5cm, στην παλαμιαία επιφάνεια του καρπού. Οι ασθενείς βλέπουν άμεση ύφεση του πόνου ενώ η δύναμη σύλληψης του χεριού επιστρέφει σε φυσιολογικά επίπεδα σε 3- 6 μήνες.


Η πιο συχνή επιπλοκή είναι η ατελής διατομή του συνδέσμου οδηγώντας σε παράταση των συμπτωμάτων μετεγχειρητικά (συμβαίνει κυρίως στην ενδοσκοπική αποσυμπίεση). Η επανεγχείρηση για καρπιαίο σωλήνα έχει δυστυχώς μικρότερα ποσοστά επιτυχίας.

ΣΥΝΔΡΟΜΟ ΚΑΡΠΙΑΙΟΥ ΣΩΛΗΝΑ 4. Άκρα χείρα - Πηχεοκαρπική Άκρα χείρα - Πηχεοκαρπική

(Boxer’s fracture)

Tυπικό κάταγμα 5ου μετακαρπίου (μετακαρπίου που αντιστοιχεί στο μικρό δάκτυλο), υποκεφαλικό, με παλαμιαία παρεκτόπιση αφού το περιφερικό κομμάτι παρεκτοπίζεται προς τα κάτω. Ο μηχανισμός κάκωσης είναι αυτός της πρόσκρουσης της κεφαλής του 5ου μετακαρπίου με την άκρα χείρα σε γροθιά ( συνήθως crosse). Συμβαίνει συχνά σε αθλητές πολεμικών τεχνών, κυρίως όταν σε αυτές δεν χρησιμοποιούνται γάντια. Το σημαντικότερο στην κλινική εξέταση είναι η διαπίστωση αν υπάρχει στροφική παραμόρφωση του μικρού δακτύλου, οπότε οπωσδήποτε χρειάζεται χειρουργείο, ή όχι.

Η αντιμετώπιση συνίσταται αρχικά σε κλειστή ανάταξη με μηχανισμό αξονικής ραχιαίας δύναμης στη πρώτη φάλαγγα με τη μετακαρπιοφαλαγγική σε κάμψη 90 μοιρών. Ακολουθεί ακινητοποίηση σε νάρθηκα με το δάκτυλο σε έκταση και τη μετακαρπιοφαλαγγική 90 μοίρες κάμψη, για 3 εβδομάδες. Σημειώνεται ότι πρόκειται για πολύ ασταθές κάταγμα που παρά την αρχική ανάταξη και ακινητοποίηση στο νάρθηκα , η παρεκτόπιση είναι συχνή. Στην περίπτωση αυτή και για ασθενείς χωρίς ιδιαίτερες απαιτήσεις, μια γωνίωση μέχρι 30 μοίρες μπορεί να γίνει αποδεκτή χωρίς ιδιαίτερα λειτουργικά προβλήματα. Παραμένει όμως άλλοτε σε άλλο βαθμό μια μόνιμη διόγκωση στην περιοχή που μπορεί να δημιουργήσει αισθητικό πρόβλημα.

Για ασθενείς λοιπόν που η αισθητική της άκρας χείρας είναι σημαντική, για ασθενείς που ο χρόνος είναι πολύ σημαντικός (3 εβδ. ακινητοποίηση), για ασθενείς με στροφική παραμόρφωση, για ανοικτά κατάγματα όπου υπάρχει επικοινωνία του οστού με τον αέρα και για ασθενείς που έχουν ιδιαίτερες απαιτήσεις από τα χέρια τους, όπως μουσικοί, πιανίστες, χειρουργοί, αθλητές υψηλού επιπέδου, πυγμάχοι κτλ, συνιστάται χειρουργική θεραπεία και άμεση κινητοποίηση. Η άμεση κινητοποίηση μετά το χειρουργείο μειώνει τις πιθανότητες δυσκαμψίας της άρθρωσης.

Οι εναλλακτικές μέθοδοι χειρουργικής θεραπείας είναι ανοικτή ανάταξη και εσωτερική οστεοσύνθεση με πλάκα και βίδες, κλειστή ανάταξη και ενδομυελική οστεοσύνθεση με σύρμα, εξωτερική οστεοσύνθεση, έμμεση οστεοσύνθεση με βελόνες διά του 4ου μετακαρπίου. Η επιλογή εξαρτάται από την «προσωπικότητα» του κατάγματος.

ΚΑΤΑΓΜΑ ΠΥΓΜΑΧΟΥ ΚΑΤΑΓΜΑ ΠΥΓΜΑΧΟΥ (Boxer’s fracture) ΚΑΤΑΓΜΑ ΠΥΓΜΑΧΟΥ (Boxer’s fracture) 4. Άκρα χείρα - Πηχεοκαρπική

ΚΑΤΑΓΜΑ ΚΑΤΩ ΠΕΡΑΤΟΣ ΚΕΡΚΙΔΟΣ – ΩΛΕΝΗΣ

Πολύ σύνηθες κάταγμα συνεπεία πτώσεως και στήριξης στο χέρι με τον καρπό σε έκταση. Η συχνότητα είναι μεγαλύτερη σε μετεμμηνοπαυσιακές γυναίκες με οστεοπόρωση. Συμβαίνει βέβαια και σε νεότερα υγειά άτομα, όπως και σε παιδιά, αλλά απαιτείται μεγαλύτερη βία.

Οι ανωτέρω ακτινογραφίες αναδεικνύουν ένα τέτοιο κάταγμα, σε πλήρη παρεκτόπιση χωρίς επέκταση στην αρθρική επιφάνεια. Το κάταγμα αυτό περιγράφηκε για πρώτη φορά από τον Ιρλανδό ιατρό Colles πριν την ανακάλυψη και χρήση των ακτινογραφιών. Φέρει τιμητικά το όνομά του.

Αρχικά αντιμετωπίστηκε με κλειστή ανάταξη και γύψωση, υπό τοπική αναισθησία, στο θάλαμο επειγόντων.

Πρόκειται όμως για ασταθή κατάγματα και παρά την ικανοποιητική ανάταξη και γύψωση, μερικές φορές το κάταγμα παρεκτοπίζεται στο γύψο. Η τελική αντιμετώπιση ήταν η σταθεροποίηση με βελόνες Κirschner, μια ανέξοδη και πολύ αποτελεσματική μέθοδος. Ο συνολικός χρόνος ακινητοποίησης είναι 6 εβδομάδες και συνήθως ακολουθεί περίοδος φυσικοθεραπείας. Μετά από ένα τέτοιο κάταγμα σε μια μετεμμηνοπαυσιακή γυναίκα, εξέχουσας σημασίας είναι ο έλεγχος και θεραπεία οστεοπόρωσης.

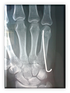
Μέθοδος εκλογής από την πλευρά μου είναι η οστεοσύνθεση με ενδοαυλική βελόνα Kirschner.

Πρόκειται για μέθοδο ελάχιστης παρεμβατικότητας αφού το κάταγμα ανατάσσεται κλειστά και η είσοδος της βελόνας γίνεται από μία μικρή τομή στη βάση του 5ου μετακαρπίου.

Με την είσοδό της η βελόνα συμβάλει στην ανάταξη του κατάγματος όπως φυσικά και στη συγκράτησή του.

Παράλληλα επιτυγχάνεται και η αποκατάσταση του μήκους του οστού.

Στη συνέχεια δεν χρησιμοποιείται νάρθηκας και η κινητοποίηση του δακτύλου είναι άμεση.

Η βελόνα αφαιρείται στο εξωτερικό ιατρείο χωρίς την ανάγκη αναισθησίας.

Αρχική σελίδα 4. Άκρα χείρα - Πηχεοκαρπική Ορθοπαιδικές Παθήσεις ΑΝΑΤΟΜΙΑ ΧΕΡΙΩΝ

ΚΑΤΑΓΜΑ ΕΞΑΡΘΡΗΜΑ ΑΝΤΙΒΡΑΧΙΟΥ ΤΥΠΟΥ GALEAZZI

Είναι μία σχετικά σπάνια κάκωση που περιλαμβάνει κάταγμα στο περιφερικό τριτημόριο της κερκίδος και εξάρθρημα στην κάτω κερκιδολενική άρθρωση. Η συχνότητα αυτής της κάκωσης είναι 7% των κακώσεων του αντιβραχίου. Απαιτεί προσοχή στη διάγνωση διότι συχνά δεν διαγιγνώσκεται το εξάρθρημα της κερκιδολενικής, εστιάζοντας μόνο στο εμφανές κάταγμα της κερκίδος και οδηγώντας τελικά σε πλημμελή αντιμετώπιση της όλης βλάβης.

Η αντιμετώπιση της σύνθετης αυτής κάκωσης είναι κατά κανόνα χειρουργική. Απόπειρες συντηρητικής αντιμετώπισης έδωσαν πολύ φτωχά αποτελέσματα και μετά τη δημοσίευσή τους, στη βιβλιογραφία θεωρείται μονόδρομος η χειρουργική θεραπεία.

Στο χειρουργείο διενεργείται ανοικτή ανάταξη και εσωτερική οστεοσύνθεση του κατάγματος της κερκίδος με πλάκα και βίδες. Τις περισσότερες φορές αυτό οδηγεί σε ανάταξη του εξαρθρήματος της κερκιδολενικής. Αν η ανάταξη παραμένει σταθερή, τότε, τοποθετείται ένας βραχιονοπηχεδοκαρπικός νάρθηκας  σε υπτιασμό για 3 εβδομάδες και στη συνέχεια αρχίζει σταδιακά η κινησιοθεραπεία με έμφαση στον πρηνισμό- υπτιασμό στις 6 εβδομάδες. Αν η άρθρωση δεν αναταχθεί αυτόματα μετά την οστεοσύνθεση της κερκίδος, τότε , ανατάσσεται από μέρους μας και σταθεροποιείται με μία ή δύο βελόνες Kirschner.

2. Ώμος 1. Αυχένας 3. Αγκώνας 5. Σπονδυλική στήλη 6. Ισχίο 7. Μηρός 8. Γόνατο 9. Κνήμη 10. Ποδοκνημική - Άκρος πόδας 4. Άκρα χείρα - Πηχεοκαρπική

ακρα χειρα πηχεοκαρπικη, άκρα χείρα πηχεοκαρπική, συνδρομο καρπιαιου σωληνα, σύνδρομο καρπιαίου σωλήνα