Κωνσταντίνος

Ορθοπαιδικός

Bougoulias.com  |  © 2024  |  All rights reserved

Όροι χρήσης & Πολιτική απορρήτου

Μπουγουλιάς

Χειρουργός

Αρχική σελίδα

The latest HTML5, CSS3 and advanced JavaScript have

been used to ensure the highest compatibility.

Ορθοπαιδικές Παθήσεις

Διευθυντής Β’ Κλινικής Σπονδυλικής Στήλης,

Νοσοκομείο Metropolitan General

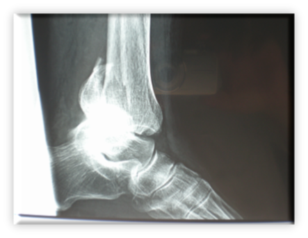
Ποδοκνημική - Άκρος πόδας ΤΡΙΣΦΥΡΙΟ ΚΑΤΑΓΜΑ ΠΟΔΟΚΝΗΜΙΚΗΣ

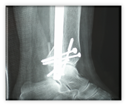
Πρόκειται για αρκετά σοβαρό τραυματισμό, αφού το κάταγμα επεκτείνεται στην άρθρωση (ενδαρθρικό) με συνέπεια αυξημένα ποσοστά μετατραυματικής αρθρίτιδας της ποδοκνημικής. Αυτό καθιστά την ακριβή ανάταξη της αρθρικής επιφάνειας επιβεβλημένη. Ειδικότερα, αν το κάταγμα οπισθίου σφυρού περιλαμβάνει το 1/3 ή περισσότερο της αρθρικής επιφάνειας πρέπει να αναταχθεί και οστεοσυνθεθεί. Τα συνυπάρχοντα κατάγματα του κάτω πέρατος της περόνης (έξω σφυρό) και κάτω έσω πέρας της κνήμης (έσω σφυρό) καθιστούν την άρθρωση  εξαιρετικά ασταθή. Η όλη κατάσταση μπορεί να παρομοιαστεί με ένα τρίποδα του οποίου έχουν σπάσει και τα τρία πόδια. Φτιάχνοντας το ένα ή τα δύο μόνο πόδια, δεν μπορεί να έχει ισορροπία ο τρίποδας, οπότε πέφτει. Αντίστοιχα είναι τα πράγματα και για την άρθρωση της ποδοκνημικής που είναι μια στηρικτική άρθρωση.

Η θεραπεία είναι χειρουργική.

ΤΡΙΣΦΥΡΙΟ ΚΑΤΑΓΜΑ ΠΟΔΟΚΝΗΜΙΚΗΣ

Πρόκειται για σύνθετη παθολογία του μεγάλου δακτύλου του ποδιού, που εκτός από την παραμόρφωση σε βλαισσότητα, όπως το όνομα υποδηλώνει, συνυπάρχει στροφική παραμόρφωση και γενικότερα παραμόρφωση ολόκληρου του πρώτου στοίχου (ταρσός, μετατάρσιο, δάκτυλο) αλλά και των μικρότερων δακτύλων. Πιο συγκεκριμένα, υπάρχουν οστεόφυτα στις αρθρώσεις και κυρίως στην έσω επιφάνεια της κεφαλής του πρώτου μεταταρσίου (κότσι), τροφικές αλλοιώσεις του δέρματος και δερματικοί κάλοι στα σημεία αυξημένης φόρτισης, λέπτυνση του υποδορίου λίπους στην πελματιαία επιφάνεια, εξάρθρημα σησαμοειδών οσταρίων, ανισορροπία στους άξονες έλξης των τενόντων περί του μεγάλου δακτύλου, υμενίτιδα στην έσω επιφάνεια της μεταταρσιοφαλλαγγικής η οποία είναι και πολύ επίπονη. Εμβιομηχανικά ο άξονας φόρτισης του ποδιού μεταφέρεται στο διάστημα μεταξύ πρώτου και δεύτερου στοίχου με αποτέλεσμα το πρώτο μετατάρσιο να δέχεται λιγότερα φορτία από όσο θα έπρεπε και τελικώς μεταταρσιαλγία στις κεφαλές των μικρότερων μεταταρσίων, παραμορφώσεις των μικρότερων δακτύλων με συχνότερη αυτή του δευτέρου που καταλήγει σε γαμψοδακτυλία, εφίππευση επί του πρώτου, στεόφυτα και δερματικό κάλο στην ραχιαία επιφάνεια της πρώτης φαλαγγοφαλαγγικής άρθρωσης, οστεοχόνδρινες αλλοιώσεις των αρθρώσεων και τελικά αρθρίτιδα.

ΒΛΑΙΣΟΣ ΜΕΓΑΛΟΣ ΔΑΚΤΥΛΟΣ (HALLUX VALGUS)

Στις ακτινογραφίες πρέπει να μετρηθούν η γωνία μεταξύ 1ου και 2ου μεταταρσίων με ανώτερα όρια 8-9 μοίρες, η γωνία βλαισσότητας του 1ου μεταταρσίου και 1ης φάλαγγας που όταν ξεπερνά τις 15 μοίρες ορίζεται παθολογική. Συμπληρωματικά μπορούν να μετρηθούν οι γωνίες προσανατολισμού της αρθρικής επιφάνειας κεφαλής 1ου μεταταρσίου και η γωνία προσανατολισμού κεντρικής αρθρικής επιφάνειας 1ης φάλαγγας του μεγάλου δακτύλου.


Στο ερώτημα τι προκαλεί τις ανωτέρω παθολογικές καταστάσεις έχει βρεθεί άμεση συσχέτιση με γενετικούς παράγοντες. Το είδος των υποδημάτων φαίνεται να έχει κάποια σχέση χωρίς όμως να έχει δημοσιευθεί κάποια σοβαρή μελέτη που να αποδεικνύει άμεση συσχέτιση. Άλλωστε δεν είναι άγνωστη κατάσταση σε κοινωνίες όπου οι άνθρωποι δεν συνηθίζουν να φορούν υποδήματα. Επίσης, η εμφάνιση μονόπλευρου βλαισσού μεγάλου δακτύλου είναι γεγονός . Ανατομικές ανωμαλίες μετατραυματικές ή μη (πχ πλατυποδία) μπορούν να αποτελέσουν αιτιολογικούς παράγοντες.


Τονίζεται ότι στην κλινική εξέταση υποχρεωτικά ελέγχεται όλο το κάτω σκέλος από το γόνατο και κάτω, όλες οι επιφάνειες του άκρου ποδός σε στήριξη και όχι, το εύρος κίνησης των αρθρώσεων οπισθίου, μέσου και περιφερικού άκρου ποδός, η αναταξιμότητα των παραμορφώσεων, μήκος μεταταρσίων, νευροαγγειακός έλεγχος.

Αρχικά, η αντιμετώπιση είναι συντηρητική με αντιφλεγμονώδη επιθέματα, περιποίηση δέρματος, κινησιοθεραπεία αρθρώσεων, χρήση κατάλληλων υποδημέτων και ειδικών ναρθήκων ανάταξης.


Ο κατάλληλος χρόνος χειρουργικής αντιμετώπισης είναι εξειδικευμένος για κάθε περιστατικό, λαμβάνοντας υπόψη την ύπαρξη όλων των ανωτέρω παραμέτρων και την επίδραση που έχουν στη λειτουργικότητα αλλά και αισθητική του άκρου ποδός. Γενικότερα η επέμβαση δεν είναι απαραίτητο να γίνεται υπερβολικά νωρίς απλά και μόνο επειδή κάποιες γωνίες στις ακτινογραφίες είναι πάνω από το φυσιολογικό, αλλά ούτε και υπερβολικά καθυστερημένα  καθιστώντας το χειρουργείο πραγματική πρόκληση από τεχνική άποψη. Περιγράφονται περί τα 150 είδη επεμβάσεων για τη συγκεκριμένη παθολογία και τις παραλλαγές της. Είναι έργο του χειρουργού σε πλήρη συνεργασία με τον ασθενή να επιλεγεί η κατάλληλη επέμβαση για τον κατάλληλο ασθενή στον κατάλληλο χρόνο. Περιγράφονται επεμβάσεις από τις πιο απλές, συνθετότερες με τεχνικές ελάχιστης επεμβατικότητας έως και πολύ σύνθετες.

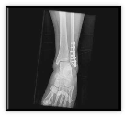
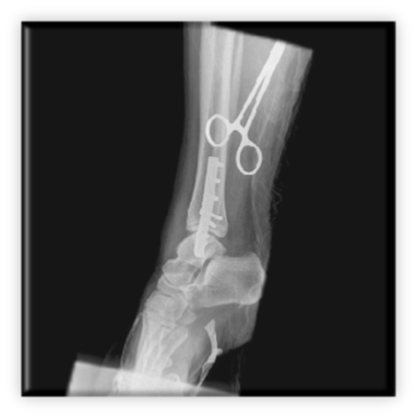
Κάταγμα κάτω πέρατος περόνης (έξω σφυρού) παρεκτοπισθέν με ταυτόχρονη παρεκτόπιση προς τα έξω του αστραγάλου. Αντιμετωπίστηκε με ανοικτή ανάταξη και εσωτερική οστεοσύνθεση με πλάκα – βίδες και μία διακαταγματική βίδα συμπίεσης

ΚΑΤΑΓΜΑ ΕΞΩ ΣΦΥΡΟΥ ΑΝΤΙΜΕΤΩΠΙΣΘΕΝ ΣΕ ΧΕΙΡΟΥΡΓΕΙΟ ΜΑΧΗΣ ΣΤΟ ΑΦΓΑΝΙΣΤΑΝ ΑΠΟ ΤΗΝ ΕΛΛΗΝΙΚΗ ΑΠΟΣΤΟΛΗ 10. Ποδοκνημική - Άκρος πόδας Αρχική σελίδα 10. Ποδοκνημική - Άκρος πόδας Ορθοπαιδικές Παθήσεις 2. Ώμος 1. Αυχένας 3. Αγκώνας 5. Σπονδυλική στήλη 6. Ισχίο 7. Μηρός 8. Γόνατο 9. Κνήμη 10. Ποδοκνημική - Άκρος πόδας 4. Άκρα χείρα - Πηχεοκαρπική

ποδοκνημικη, ποδοκνημική, ποδοκνημικη ακρος ποδας, ποδοκνημική άκρος πόδας, καταγμα εξω σφυρου αντιμετωπισθεν σε χειρουργειο μαχης στο αφγανισταν απο την ελληνικη αποστολη, κάταγμα έξω σφύρου αντιμετωπισθέν σε χειρουργείο μάχης στο αφγανιστάν από την ελληνική αποστολή, τρισφυριο καταγμα, τρισφύριο κάταγμα, τρισφυριο καταγμα ποδοκνημικης, τρισφύριο κάταγμα ποδοκνημικής, καταγμα ποδοκνημικης, κάταγμα ποδοκνημικής, βλαισος μεγαλος δακτυλος, βλαίσος μεγάλος δάκτυλος