Κωνσταντίνος
Ορθοπαιδικός
Bougoulias.com | © 2024 | All rights reserved
Μπουγουλιάς
Χειρουργός
The latest HTML5, CSS3 and advanced JavaScript have
been used to ensure the highest compatibility.
Διευθυντής Β’ Κλινικής Σπονδυλικής Στήλης,
Νοσοκομείο Metropolitan General
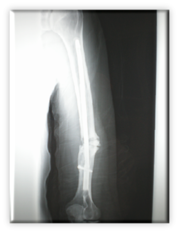
Κάταγμα διάφυσης βραχιονίου αντιμετωπισθέν αρχικά με ανάστροφο ενδομυελικό ήλο, στη συνέχεια δυναμοποίηση του ήλου με αφαίρεση κεντρικής βίδας, τελικά όμως ψευδάρθρωση κατάγματος.
Τα κατάγματα διάφυσης βραχιονίου αντιμετωπίζονται συνήθως συντηρητικά με πολύ καλά ποσοστά πόρωσης.Απόλυτη ένδειξη για χειρουργική θεραπεία έχουν τα ανοικτά κατάγματα, τα επιπλεγμένα με νευροαγγειακή βλάβη, τα παθολογικά όπως και σε πολυκαταγματίες.
Αντίστοιχο κάταγμα διάφυσης αντιμετωπισθέν με πλάκα, βίδες και τελική πόρωση του κατάγματος
